Medicine i_need_contribute
New Study Suggests That an Ancient Chinese Herbal Remedy Could Improve Fertility
source:SciTechDaily 2025-11-24 [Medicine]
By Shanghai Jiao Tong University Journal Center

New research reveals how the traditional Chinese formula Jinfeng Pills can biologically restore a thin endometrium, a persistent contributor to infertility.

 

A new study published in the journal Reproductive and Developmental Medicine has identified how a traditional Chinese herbal formula may help restore endometrial receptivity in cases of thin endometrium in rats, a condition frequently linked to infertility.

Researchers working with female Sprague-Dawley rats found that Jinfeng Pills, a formula historically used within the Chinese imperial harem, were able to noticeably increase endometrial thickness. The treatment also improved glandular and vascular density while raising the activity of molecular markers that support a receptive uterine environment.

Thin endometrium, typically defined as a lining measuring less than 7 mm, is seen in up to 2.5% of women facing infertility. The condition may develop after repeated uterine procedures, infections, or hormone-related disruptions. These factors can limit blood flow, hinder proper endometrial growth, and create conditions that make implantation difficult. Treatment options remain limited, which is why the condition continues to challenge physicians and researchers.

What Are Jinfeng Pills?

Jinfeng Pills are a traditional Chinese medicinal formula recorded in historical medical texts and noted for use within imperial palace settings. The prescription includes a combination of herbs selected to support reproductive health by promoting circulation, regulating hormonal balance, and strengthening organ systems described in traditional Chinese medicine.

The formula contains a combination of herbs and animal-derived ingredients that have long been associated with supporting reproductive health. These include Epimedium, Citronella, Motherwort, Cinnamon, Ass Hide Glue, Velvet Antler, Ginseng, Privet Fruit, and Polygonum multiflorum.

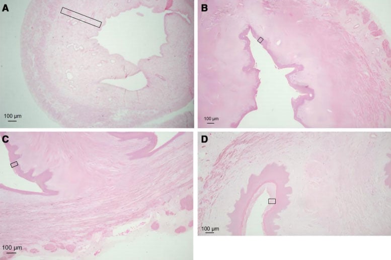
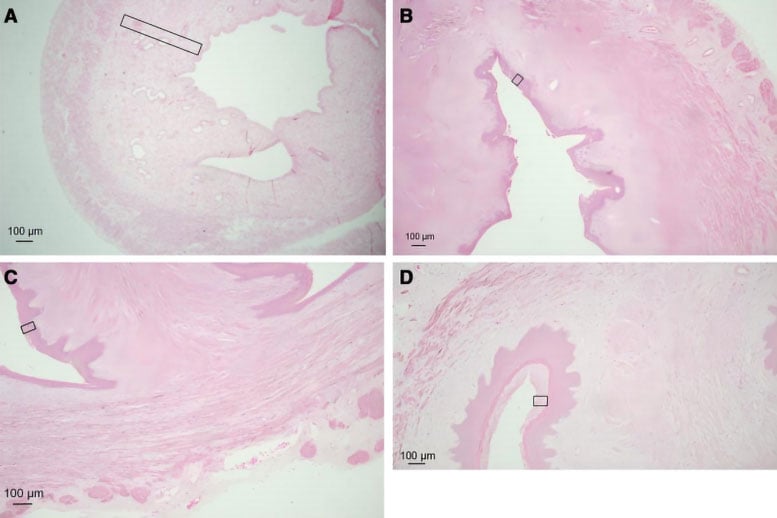
Morphological Changes in Each Group Jinfeng Pills

Morphological changes in each group (×100). The boxes indicate the thickness of the endometrium. (A) The morphology and thickness of the endometrium in the control group. (B) The model group exhibited a markedly thinner endometrium with structural disorganization. The characteristic undulating architecture was absent, accompanied by sparse glandular distribution and a reduced endometrial volume. (C) The morphology and thickness of the endometrium in the estrogen group. (D) The Jinfeng pills group displayed a markedly thicker endometrium characterized by a prominent, well-defined wavy pattern. Credit: Gao, Hong; Cheng, Ling; Yan, Xiao-Hong; Zhang, Heng-Yuan; Wu, Rong-Feng; Li, You-Zhu

 

Restoration of Endometrial Structure and Function

To investigate potential treatments, the research team produced a thin endometrium model in rats by applying 95% ethanol, which caused controlled chemical injury to the uterine lining. After the model was established, the animals were separated into several groups: a control group, a model group (no treatment), an estradiol valerate group (a common hormonal therapy), and a group that received Jinfeng Pills.

The scientists then examined how each treatment affected the uterus by using histological staining, ELISA, immunofluorescence, and qPCR. These methods allowed them to assess structural changes in the endometrium, shifts in serum biomarkers, and alterations in the gene and protein activity required for successful implantation.

 

Restoration of Endometrial Structure and Function

The results indicated that rats treated with Jinfeng Pills showed a significantly thicker endometrium with restored undulating structure, increased glandular density, and enhanced vascularization. Serum levels of vascular endothelial growth factor (VEGF), a key protein for blood vessel formation, were notably higher.

According to traditional Chinese medicine, Jinfeng Pills work by “warming the kidney, tonifying Yang, nourishing the liver and spleen, regulating Chong and Ren vessels, and promoting blood circulation.” This study provides a molecular basis for these claims, showing that the formula enhances vascular regeneration, supports endometrial repair, and improves the uterine environment for embryo attachment.

“This study experimentally confirms the efficacy of Jinfeng Pills in treating thin endometrium in a rat model and to preliminarily clarify its mechanism of action,” the authors noted. The findings open the door to more integrative treatment strategies, combining traditional medicine with modern reproductive technology to help patients with thin endometrium achieve successful pregnancies.

 

Reference: “Effect and mechanism of Jinfeng Pills on the receptivity of thin endometrium in rats” by Hong Gao, Ling Cheng, Xiao-Hong Yan, Heng-Yuan Zhang, Rong-Feng Wu and You-Zhu Li, 13 August 2025, Reproductive and Developmental Medicine.
DOI: 10.1097/RD9.0000000000000140